Limb Deformity

Children’s Limb Deformity Treatment & Guided Growth
Renown Pediatric Surgery Care
Phone: 775-982-6270 | Fax: 775-982-6271
Bowed Legs in Children
Bowed legs are common in toddlers. It’s usually a normal part of growth.
Some children have a slight curve in their legs. Others may have more noticeable bowing. As kids grow, their legs slowly straighten. Around age 2, most legs look almost straight. By age 3, bowing has usually gone away.
Every child grows at a different pace. Some may not follow this exact timeline.
In some cases, bowed legs are caused by a medical condition. These can include growth plate problems (like Blount’s disease) or vitamin deficiencies such as rickets.
Most children do not need treatment. Your child’s doctor will examine them carefully and may order X-rays. Treatment depends on the cause and how severe the bowing is.
Options may include:
- Watching and monitoring growth
- Bracing
- Surgery in more serious cases
Surgery may involve guiding growth over time or reshaping the bone.
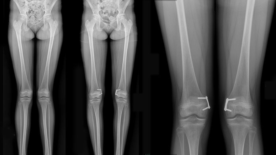
What is Growth Modulation?
Growth modulation is a way to gently guide how a child’s bone grows.
It’s used when bones are growing at an angle and causing bowed legs or knock knees.
Instead of cutting the bone right away, doctors use the child’s natural growth to slowly correct the problem.
A small temporary plate is placed on one side of the growth plate. This slows growth on that side. The other side keeps growing, which helps straighten the leg over time.
This is usually an outpatient procedure, meaning your child goes home the same day.
Growth modulation only works in children who are still growing. It requires careful follow-up visits to make sure the correction is happening as planned.
Every child is different. Your orthopedic team will choose the safest and most effective treatment based on your child’s needs.

Knock Knees
Genu valgum (knock-knees) is a common lower leg abnormality usually seen in toddlers, preschool, and early school-age children.
Images left to right: Patient presenting with genu valgum, post-genu valgum with posts in place, and detail of post positioning.